US-ism
(ユーエスイズム)
-・-・-・-・-・-・-・-・-
クチコミ率63%
充実のラインナップ囹
自分に合った“セミナー”を探してみて下さいね
経験ゼロの方も多数ご参加いただいております。
肩の力を抜いて、安心してご参加ください(^-^)
日本全国からご参加いただいています。
同じ超音波検査をはじめる方とのコミュニケーションも『楽しみ』や『勉強』の一つになるのではないでしょうか。(^-^)。
-・-・-・-・-・-・-・-・-
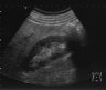
【腹部エコー】

(↑肝臓/右葉と左葉)
セミナー詳細
-・-・-・-・-・-・-・-・-
【腹部エコートレーニング】

(↑Fatty liver/HR contrast)
セミナー詳細
-・-・-・-・-・-・-・-・-
【頸動脈エコー】

(↑総頸動脈/パワードプラ表示)
セミナー詳細
-・-・-・-・-・-・-・-・-
【乳腺エコー】
001.jpg)
(↑線維腺腫)
セミナー詳細
-・-・-・-・-・-・-・-・-
【心臓エコー】

(↑心臓/フォーチャンバー表示)
セミナー詳細
-・-・-・-・-・-・-・-・-
【確認事項】
女申込方法女
梁お支払い方法梁
申込取消し
(株)US−ism
Tel 0422-50-0084
Fax 0422-50-0084
-・-・-・-・-・-・-・-・-
-・-・-MENU-・-・-
英単語集/
サイン集/
組織学/解剖学/
US基礎用語集/
書籍/Net講座
-・-・-・-・-・-・-・-・-