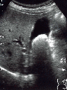
結石

-・-・-・-・-・-・-・-・-

右肋弓下縦走査

-・-・-・-・-・-・-・-・-

右肋間走査

-・-・-・-・-・-・-・-・-

【戻る】

-・-・-MENU-・-・-

英単語集/
サイン集/
組織学/解剖学/
US基礎用語集/
セミナー/
書籍/Net講座

-・-・-・-・-・-・-・-・-

ホーム


AX